oysters with blender

Bureau of Aquaculture Laboratory

  • The onsite Milford laboratory is the only lab certified by the FDA in Connecticut to use all of the methods needed to maintain DoAg's shellfish sanitation program
  • The lab directly supports testing to certify that water and shellfish tissue samples meet the National Shellfish Sanitation Program (NSSP) standards
  • Because shellfish are filter feeders, they can concentrate potentially pathogenic bacteria and viruses, biotoxins, and other harmful substances in their tissues; therefore, the DoAg lab uses microbiological techniques and indicator organisms to protect public health. 
  • Annually, the lab tests over 5,000 water samples and 200 shellfish tissue samples for fecal coliform bacteria, 25 viral indicator samples in shellfish tissue and wastewater samples, 20 shellfish tissue samples for Vibrio monitoring, and 15 shellfish tissue samples for biotoxins.
  • The Bureau also has a Shellfish Pathologist, who monitors for diseases that negatively impact oyster and clam health, and completes annual fall surveys as part of a long-term dataset.

Fecal coliform testing

The main analysis in the Bureau lab is fecal coliform testing in seawater and shellfish tissue samples.

Fecal coliform bacteria have a high association with fecal matter from warm-blooded animals. Human sewage contains potentially pathogenic bacteria, viruses, and parasites. Fecal coliforms are readily and inexpensively analyzed in the lab, and have been selected by the U.S. Food and Drug Administration (FDA) as an indicator organism suitable for the evaluation of the sanitary condition of seawater.

DoAg collects data to demonstrate that fecal coliform levels in water and shellfish tissue samples are correlated and acceptable.

water sample plates

Water samples are individually filtered onto a plate and cultured to grow present fecal coliform bacteria.

MSC plate

MSC plaques are visible on a plate. The plaques are formed by the MSC attacking a thin layer of host bacteria.

Viral testing

Viruses can be introduced into shellfish growing areas following raw sewage discharges or disruptions from wastewater treatment plants, collection systems, or other sources like boat holding tanks and failing septic systems. Male specific coliphage (MSC) is a viral indicator used by the DoAg lab to reopen shellfish growing areas impacted by raw or partially treated sewage bypasses. While MSC is not harmful to humans, its presence indicates the possibility for potentially pathogenic viruses, like Norovirus and Hepatitis, to also be present. Virus survival increases with cooler temperatures; therefore, MSC testing is used more heavily in the late fall, winter, and early spring.

Biotoxin testing

Harmful algal bloom (HAB) are naturally-occurring microscopic phytoplankton that are harmful to humans or the environment. HABs can produce biotoxins, which shellfish can accumulate. DoAg tests for these biotoxins to protect public health.

blue mussels for PSP testing

Blue mussels shucked for biotoxin testing.

Vibrio bacteria

Microscopic Vibrio bacteria. Photo from CDC (all rights reserved).

Vibrio testing

Vibrio are naturally-occurring bacteria in marine and estuarine waters like Long Island Sound. Vibrio are more abundant during the summer as the water warms. DoAg tests for Vibrio in statewide commercial oysters to protect public health. Additional information on Vibrio management and frequently asked questions is available. 

Shellfish disease testing

The Shellfish Pathologist tests oysters and hard clams for diseases that can negatively impact populations and cause mortality. These diseases do not impact human health, but monitoring and effective management helps to promote health shellfish populations. Additional information is available on the Shellfish Disease page.
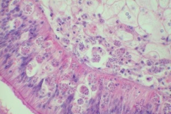
oyster pathology tissue

Staining of a thin slice of oyster tissue to diagnose diseases.